A hajhagymákból nyert őssejtek rábírhatók új bőr képzésére. Ezzel a nehezen kezelhető sebeket műtét és nagyobb hegek nélkül lehet összezárni.
Az olyan krónikusan nyitott sebek, mint a kelések vagy a nagy felületű égési sérülések kezeléséhez az orvosoknak mindenekelőtt egy dologra van szükségük: bőrre. Az idegen donoroktól érkező szövetek, a kilökődési reakció miatt csak ideiglenes sebtakaróként jönnek számításba. Ezért az orvosoknak a betegekről kell egészséges bőr leválasztaniuk, hogy azokat a sérült részekre ültethessék. A Berni Egyetem kutatóinak és a lipcsei Euroderm nevű vállalatnak azonban nemrég sikerült találnia egy új forrást a bőrpótláshoz: ezek pedig a hajhagymából származó felnőtt őssejtek. Ehhez a pácienseknek csak 40-50 hajszálat kell feláldozniuk.
A felnőtt őssejtek különböző sejttípusokká fejlődhetnek. Így például utánpótlást biztosítanak a bőr megújulásához. A hajhagymákban pedig általában a haj tartalékai halmozódnak. Ezeket a hajmirigyeket először tenyésztőedénybe, egy olyan tápoldat felszínére helyezik, ami ösztönzi az őssejtek növekedését. A sejtek osztódnak és keresztülvándorolnak egy membránon, ahol a kutatók „leszüretelik” azokat. Táptalajon tovább szaporodnak, és hámsejtekké, úgynevezett epidermális keratinocitákká fejlődnek. Három hajszál őssejtjei négy héten belül egy érme méretű, többméretű és „a normális epidermisszel tökéletesen azonos” szövetet adnak – állítja a kutató.
50 hajszálból így tíz négyzetcentiméter, kötéssel letakarva nyílt sebre helyezhető epidermisz tenyészthető. Elég, ha csak egy részük ágyazódik be: ezek a „bőrszigetek” aztán kiindulópontként szolgálnak a további sejtnövekedéshez. A bőrpótlás különösen a „nyitott lábú” emberek számára fontos. Az ok legtöbbször a szövetek visszértágulatok következtében kialakuló elégtelen vérellátása. Az utóbbi évben a lipcsei egyetemi klinikán 20, más módon már nem kezelhető beteg nyert az új fejlesztésből. A bőrlapocskák másodfokú égési sérüléseknél és hegkorrigálásra is használhatók. A kutatók most pigmentképző sejteket is szeretnének tenyészteni, hogy hatékonyabban kezelhessék a pigmenthiányos fehér foltokkal járó vitiligo betegségeket.
![]() |
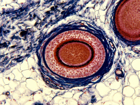
| A fejbőrön található hajhagyma keresztmetszete. A külső gyökérhüvely (világosszürke terület) úgynevezett epidermális őssejteket tartalmaz, amelyekből bőr tenyészthető. |
Az olyan krónikusan nyitott sebek, mint a kelések vagy a nagy felületű égési sérülések kezeléséhez az orvosoknak mindenekelőtt egy dologra van szükségük: bőrre. Az idegen donoroktól érkező szövetek, a kilökődési reakció miatt csak ideiglenes sebtakaróként jönnek számításba. Ezért az orvosoknak a betegekről kell egészséges bőr leválasztaniuk, hogy azokat a sérült részekre ültethessék. A Berni Egyetem kutatóinak és a lipcsei Euroderm nevű vállalatnak azonban nemrég sikerült találnia egy új forrást a bőrpótláshoz: ezek pedig a hajhagymából származó felnőtt őssejtek. Ehhez a pácienseknek csak 40-50 hajszálat kell feláldozniuk.
A felnőtt őssejtek különböző sejttípusokká fejlődhetnek. Így például utánpótlást biztosítanak a bőr megújulásához. A hajhagymákban pedig általában a haj tartalékai halmozódnak. Ezeket a hajmirigyeket először tenyésztőedénybe, egy olyan tápoldat felszínére helyezik, ami ösztönzi az őssejtek növekedését. A sejtek osztódnak és keresztülvándorolnak egy membránon, ahol a kutatók „leszüretelik” azokat. Táptalajon tovább szaporodnak, és hámsejtekké, úgynevezett epidermális keratinocitákká fejlődnek. Három hajszál őssejtjei négy héten belül egy érme méretű, többméretű és „a normális epidermisszel tökéletesen azonos” szövetet adnak – állítja a kutató.
50 hajszálból így tíz négyzetcentiméter, kötéssel letakarva nyílt sebre helyezhető epidermisz tenyészthető. Elég, ha csak egy részük ágyazódik be: ezek a „bőrszigetek” aztán kiindulópontként szolgálnak a további sejtnövekedéshez. A bőrpótlás különösen a „nyitott lábú” emberek számára fontos. Az ok legtöbbször a szövetek visszértágulatok következtében kialakuló elégtelen vérellátása. Az utóbbi évben a lipcsei egyetemi klinikán 20, más módon már nem kezelhető beteg nyert az új fejlesztésből. A bőrlapocskák másodfokú égési sérüléseknél és hegkorrigálásra is használhatók. A kutatók most pigmentképző sejteket is szeretnének tenyészteni, hogy hatékonyabban kezelhessék a pigmenthiányos fehér foltokkal járó vitiligo betegségeket.
